A Warm, Welcoming Environment
for Your Comfort

We welcome all our neighbors in Exeter and nearby communities to come experience our compassionate, gentle care. Right off Main Street on Epping Road, you’ll find Dental Arts of Exeter. Our skilled dentists and friendly staff are ready to help you maintain a beautiful and healthy smile for the rest of your life.
Dental Arts of Exeter is one of three practices established by Sameer Dogra, D.M.D, along with Dental Arts of Salem and Dental Arts of Bedford. In more than a dozen years of practice and studies at Boston University Henry M. Goldman School of Dental Medicine, Dr. Dogra has gained the expertise to provide a wide range of dental services. Virtually every dental procedure you will need can be provided in our office.
Our Dental Services
We invite patients of all ages who are in need of all types of dental care to visit our compassionate and friendly office in Exeter.
Dental Implants
This is the ideal and most permanent way to replace missing teeth, support bridges or dentures.
Cosmetic Dentistry
We love giving our patients something to really smile about with our cosmetic dentistry procedures.
Clear Aligners
With clear aligners, you can straighten teeth, close gaps and fix problematic bite issues—all without metal brackets and wires.
Pediatric Dentistry
We welcome our youngest community members so we can help them get a good start on a lifetime of healthy teeth.
A Patient’s Perspective
A Real Story About Comfort, Care, and Trust
In this video, the patient talks about their overall experience at the practice, including how they were treated by the team, how comfortable they felt during their visit, and the level of care they received. They share what stood out to them most and why they felt confident moving forward with their treatment. If you’re looking for a dental office where comfort, trust, and quality care come first, this is the kind of experience you can expect when you join our clinic.
Our Facility and Expertise
We maintain a state-of-the-art practice, with digital x-rays and a Panorex panoramic imaging system. We also use computed tomography imaging, a detailed, 3D x-ray imaging system. With this system, we can detect small problems early, well before they would show up in regular x-rays.
For diagnostics and improved patient communications, we have a handheld digital camera that fits inside your mouth. With this camera, we can show you exactly what treatment you might need or gather 3D images for orthodontic treatment, preparation of mouth guards and other uses.
In his continuing education, Dr. Dogra has gained expertise in providing sinus lifts as well as providing platelet-rich fibrin for faster healing. He has also focused heavily on oral surgery skills so that his patients can receive the best of care.
Take Advantage of Our Special Offers
To make it possible for more patients to get the care they need, we have created these special offers for new or existing patients.
Complementary
Exam & Full X-Rays
Applies to new patients only - some restrictions apply
SMILE GALLERY
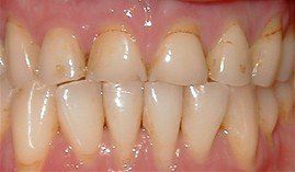
Before:
Patient needs Upper Arch Rehabilitation. Presents with Upper Anterior teeth that are stained, incisal edges (tooth edge) are worn down and chipped, and gumline recession is present.
After:
Smile restored with placement of 8 Upper All Porcelain Crowns (Caps). Gumline and incisal edges are now uniform. Patient now has longer, better shaped teeth to enhance the smile line and aid in chewing/biting function.
WHAT PATIENTS ARE SAYING
OUR PROFESSIONAL AFFILIATIONS
CONTACT US
For families in Bedford, Manchester, Litchfield, Merrimack, Amherst, Nashua, Hooksett, Goffstown, Londonderry, and Derry, we are an excellent choice for patients of all ages. We hope you visit us soon to experience our exceptional care for yourself. Please call (603) 772-3020 to schedule an appointment for yourself or someone in your family. We look forward to hearing from you soon.
Exeter - Homepage
All rescheduling and cancellations of appointments must be made 48 hours prior to the appointed visit.
This enables us to better serve all of our patients.
To make any changes please call the office during regular business hours at (603) 772-3020.
We appreciate your consideration in this matter.




















