Cosmetic Dentistry

With cosmetic dental care, we can offer our patients the chance to achieve the smiles they have been dreaming of for years. Using the full range of our services, we can fully make over even the most damaged or unattractive smile.
Veneers
By correcting poor spacing, shaping or staining, veneers can quickly provide an upgrade to a patient’s smile.
Tooth-Colored Fillings and Bonding
Dental bonding material offers us a way to make fast repairs or corrections to a smile. Chips, short teeth and gaps between teeth can all be fixed with this material.
Crown Lengthening
No more gummy smiles when crown lengthening is available. This laser surgery heals more quickly than conventional surgery.
Tell us which improvements you want to make to your appearance! Call us today (603) 772-3020.
Cosmetic Dentistry Offer
20% OFF
Cosmetic Treatment Plan
What Patients Are Saying About Us Online
"I am very happy with the work done by Dr. Sam and his very friendly, caring staff. They all make you welcome and at ease. I have definitely recommended them to others."
-Christine P.
★★★★★
"I am very happy with Dr. Sam and his team. They are all supremely competent at working together to give the patient as positive an experience as possible. Dr. Sam is clearly at the top of his game, and I always come away with no after negative side effects. The team members seem to understand how the patient feels at all times, and offer good psychological guidance, to make one feel as comfortable as is possible."
- Marie M.
★★★★★
SMILE GALLERY
Welcome to our Smile Gallery. Please enjoy some of our amazing smile transformations.
Before:
Patient needs Upper Arch Rehabilitation. Presents with Upper Anterior teeth that are stained, incisal edges (tooth edge) are worn down and chipped, and gumline recession is present.
After:
Smile restored with placement of 8 Upper All Porcelain Crowns (Caps). Gumline and incisal edges are now uniform. Patient now has longer, better shaped teeth to enhance the smile line and aid in chewing/biting function.
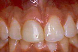
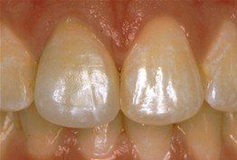
Before:
Front (left) Central tooth has a poor restoration. Does not look natural and is not contoured properly to match the gumline of the rest of the teeth.
After:
Replaced with an All Porcelain Crown (no metal). Tooth is now contoured to match the rest of the gumline. Restored tooth looks very natural and matches the shape and color of the patient’s teeth.
(Note: Patients depicted in photos have provided their consent to display their pictures online. Each patient is unique, and results may vary. Please contact us if you have questions or wish to schedule an appointment.)
COSMETIC DENTISTRY OFFER

Treatment Plan
SCHEDULE AN APPOINTMENT












